environment | January 01, 2026

Pneumonia's Impact As Revealed By Chad Allan's Obituary

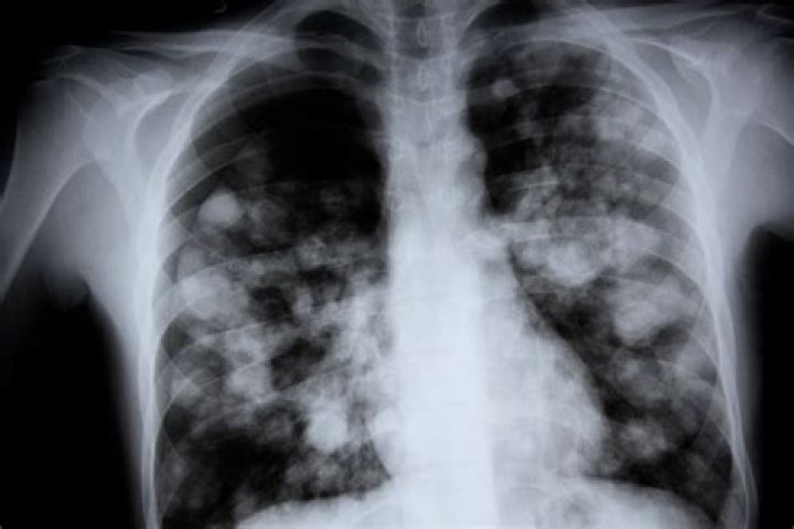
The obituary of Chad Allan, a resident of Winnipeg, Manitoba, Canada, who passed away due to white lung pneumonia, has been published. White lung pneumonia is a severe lung infection caused by the bacteria Streptococcus pneumoniae. It is characterized by the accumulation of fluid and white blood cells in the lungs, giving them a white appearance. This condition can be fatal if not treated promptly with antibiotics.

Pneumonia is a leading cause of death worldwide, particularly among the elderly, young children, and those with weakened immune systems. The bacteria that cause pneumonia can be spread through close contact with an infected person or by inhaling respiratory droplets. Symptoms of pneumonia can include fever, chills, cough, shortness of breath, and chest pain.

Treatment for pneumonia typically involves antibiotics to kill the bacteria and supportive care to relieve symptoms. In severe cases, hospitalization may be necessary. Prevention of pneumonia includes vaccination, good hygiene practices, and avoiding exposure to sick individuals.

Chad Allan Obituary Winnipeg White Lung Pneumonia

The obituary of Chad Allan, a resident of Winnipeg, Manitoba, Canada, who passed away due to white lung pneumonia, highlights several key aspects related to this topic:

  • Pneumonia: An infection of the lungs caused by bacteria, viruses, or fungi.
  • White lung pneumonia: A severe form of pneumonia characterized by the accumulation of fluid and white blood cells in the lungs.
  • Streptococcus pneumoniae: The bacteria that commonly causes white lung pneumonia.
  • Symptoms: Fever, chills, cough, shortness of breath, and chest pain.
  • Treatment: Antibiotics and supportive care.
  • Prevention: Vaccination, good hygiene practices, and avoiding exposure to sick individuals.
  • Obituary: A public notice announcing the death of a person.
  • Winnipeg: The capital and largest city of Manitoba, Canada.

These aspects provide a comprehensive overview of Chad Allan's obituary and the condition that led to his death. Pneumonia is a serious infection that can be fatal if not treated promptly. It is important to be aware of the symptoms of pneumonia and to seek medical attention if you suspect you may have the infection.

Pneumonia

Pneumonia is a serious infection of the lungs that can be caused by bacteria, viruses, or fungi. It is a leading cause of death worldwide, particularly among the elderly, young children, and those with weakened immune systems. The bacteria that cause pneumonia can be spread through close contact with an infected person or by inhaling respiratory droplets. Symptoms of pneumonia can include fever, chills, cough, shortness of breath, and chest pain.

  • Facet 1: Symptoms of Pneumonia
    Pneumonia can cause various symptoms, including fever, chills, cough, shortness of breath, and chest pain. These symptoms can range from mild to severe, and in some cases, pneumonia can be fatal if not treated promptly.
  • Facet 2: Causes of Pneumonia
    Pneumonia can be caused by a variety of bacteria, viruses, and fungi. The most common cause of bacterial pneumonia is Streptococcus pneumoniae. Viral pneumonia is often caused by the influenza virus or respiratory syncytial virus (RSV). Fungal pneumonia is less common and is typically seen in people with weakened immune systems.
  • Facet 3: Treatment of Pneumonia
    Treatment for pneumonia typically involves antibiotics to kill the bacteria or viruses that are causing the infection. In some cases, hospitalization may be necessary to provide supportive care, such as oxygen therapy or mechanical ventilation.
  • Facet 4: Prevention of Pneumonia
    There are several ways to prevent pneumonia, including vaccination, good hygiene practices, and avoiding exposure to sick individuals. Vaccination is the most effective way to prevent pneumonia, and there are vaccines available to protect against both bacterial and viral pneumonia. Good hygiene practices, such as handwashing and covering your mouth and nose when you cough or sneeze, can also help to prevent the spread of pneumonia.

In the case of Chad Allan, his obituary states that he passed away due to white lung pneumonia. White lung pneumonia is a severe form of pneumonia that is characterized by the accumulation of fluid and white blood cells in the lungs. This condition can be fatal if not treated promptly with antibiotics.

White lung pneumonia: A severe form of pneumonia characterized by the accumulation of fluid and white blood cells in the lungs.

White lung pneumonia is a severe form of pneumonia that is characterized by the accumulation of fluid and white blood cells in the lungs. This condition can be fatal if not treated promptly with antibiotics. In the case of Chad Allan, his obituary states that he passed away due to white lung pneumonia. This indicates that white lung pneumonia was the cause of his death.

White lung pneumonia is a serious condition that requires immediate medical attention. Symptoms of white lung pneumonia can include fever, chills, cough, shortness of breath, and chest pain. If you experience any of these symptoms, it is important to seek medical attention immediately.

There are several ways to prevent pneumonia, including vaccination, good hygiene practices, and avoiding exposure to sick individuals. Vaccination is the most effective way to prevent pneumonia, and there are vaccines available to protect against both bacterial and viral pneumonia. Good hygiene practices, such as handwashing and covering your mouth and nose when you cough or sneeze, can also help to prevent the spread of pneumonia.

Understanding the connection between white lung pneumonia and Chad Allan's obituary is important because it highlights the severity of this condition and the importance of seeking medical attention if you experience any symptoms of pneumonia.

Streptococcus pneumoniae: The bacteria that commonly causes white lung pneumonia.

In the context of "Chad Allan Obituary Winnipeg White Lung Pneumonia", the bacterium Streptococcus pneumoniae plays a significant role. This bacterium is the most common cause of white lung pneumonia, a severe form of pneumonia characterized by the accumulation of fluid and white blood cells in the lungs. Understanding the connection between Streptococcus pneumoniae and white lung pneumonia is crucial for comprehending the circumstances surrounding Chad Allan's passing.

  • Facet 1: Pathogenesis of Streptococcus pneumoniae

    Streptococcus pneumoniae is a Gram-positive bacterium that colonizes the nasopharynx of many healthy individuals. However, in certain circumstances, it can invade the lungs and cause pneumonia. The bacteria can spread through close contact with an infected person or by inhaling respiratory droplets. Once in the lungs, Streptococcus pneumoniae can damage the lung tissue and cause inflammation, leading to the symptoms of pneumonia.

  • Facet 2: Risk Factors for Streptococcus pneumoniae Infection

    Certain individuals are at higher risk of developing Streptococcus pneumoniae infection and white lung pneumonia. These risk factors include:

    • Young children
    • Elderly adults
    • Individuals with weakened immune systems
    • Individuals with chronic lung conditions
  • Facet 3: Symptoms of Streptococcus pneumoniae Pneumonia

    The symptoms of Streptococcus pneumoniae pneumonia can vary depending on the severity of the infection. Common symptoms include:

    • Fever
    • Chills
    • Cough
    • Shortness of breath
    • Chest pain
  • Facet 4: Treatment of Streptococcus pneumoniae Pneumonia

    Treatment for Streptococcus pneumoniae pneumonia typically involves antibiotics to kill the bacteria. In severe cases, hospitalization may be necessary to provide supportive care, such as oxygen therapy or mechanical ventilation.

By understanding the connection between Streptococcus pneumoniae and white lung pneumonia, we can better appreciate the challenges faced by individuals like Chad Allan. This knowledge highlights the importance of vaccination, good hygiene practices, and seeking medical attention promptly if symptoms of pneumonia develop.

Symptoms: Fever, chills, cough, shortness of breath, and chest pain.

In the context of "Chad Allan Obituary Winnipeg White Lung Pneumonia", the symptoms of fever, chills, cough, shortness of breath, and chest pain play a crucial role in understanding the condition and its impact on the individual. These symptoms are commonly associated with pneumonia, including white lung pneumonia, the severe form that Chad Allan succumbed to.

The presence of these symptoms indicates an infection or inflammation in the lungs. Fever is a common response to infection, as the body attempts to fight off the invading pathogens. Chills and cough are often associated with respiratory infections, as the body tries to expel the irritants and mucus from the lungs. Shortness of breath and chest pain are more severe symptoms that can indicate significant lung involvement and inflammation.

In Chad Allan's case, the symptoms of fever, chills, cough, shortness of breath, and chest pain likely indicate the progression of white lung pneumonia. These symptoms would have been crucial for medical professionals in diagnosing and treating his condition. Understanding the significance of these symptoms helps us appreciate the challenges faced by individuals with pneumonia and the importance of seeking timely medical attention.

Recognizing and understanding the symptoms of pneumonia, including fever, chills, cough, shortness of breath, and chest pain, is essential for both healthcare professionals and individuals. Early detection and treatment of pneumonia can significantly improve outcomes and prevent severe complications like white lung pneumonia.

Treatment: Antibiotics and supportive care.

In the context of "Chad Allan Obituary Winnipeg White Lung Pneumonia", the treatment of antibiotics and supportive care holds significant importance in understanding the efforts to combat this severe condition. Antibiotics play a crucial role in treating bacterial pneumonia, including white lung pneumonia, by targeting and eliminating the underlying bacterial infection. Supportive care measures provide additional assistance to alleviate symptoms and maintain vital functions.

Antibiotics work by interfering with the growth and reproduction of bacteria, effectively reducing their numbers and suppressing the infection. In Chad Allan's case, antibiotics would have been essential in combating the Streptococcus pneumoniae bacteria responsible for his white lung pneumonia. Supportive care measures, such as oxygen therapy or mechanical ventilation, may have been necessary to assist his breathing and maintain adequate oxygen levels in his body.

Understanding the treatment of antibiotics and supportive care is crucial in appreciating the challenges faced by individuals with white lung pneumonia. Prompt and appropriate treatment with antibiotics can significantly improve outcomes, reduce complications, and potentially save lives. Supportive care measures provide additional support to the body's natural healing processes, ensuring that vital functions are maintained during the recovery period.

Recognizing the importance of treatment in the context of "Chad Allan Obituary Winnipeg White Lung Pneumonia" emphasizes the need for timely medical intervention and adherence to prescribed treatment plans. Effective treatment can make a substantial difference in the prognosis of individuals battling pneumonia and other severe infections.

Prevention: Vaccination, good hygiene practices, and avoiding exposure to sick individuals.

In the context of "Chad Allan Obituary Winnipeg White Lung Pneumonia," the prevention measures of vaccination, good hygiene practices, and avoiding exposure to sick individuals hold significant relevance in understanding the broader context of pneumonia and its potential impact on individuals and communities.

  • Vaccination
    Vaccination is a crucial preventive measure against pneumonia, including the severe form known as white lung pneumonia. Vaccines work by stimulating the body's immune system to recognize and develop antibodies against specific pathogens. In the case of Chad Allan, vaccination against Streptococcus pneumoniae, the bacterium responsible for his white lung pneumonia, could have potentially prevented the infection or reduced its severity.
  • Good hygiene practices
    Maintaining good hygiene practices, such as frequent handwashing, covering coughs and sneezes, and properly disposing of used tissues, helps reduce the spread of bacteria and viruses that cause pneumonia. By adhering to these practices, individuals can minimize their risk of exposure and infection.
  • Avoiding exposure to sick individuals
    Limiting contact with individuals who are sick, especially during peak respiratory illness seasons, can help prevent the transmission of pneumonia-causing pathogens. This measure is particularly important for individuals who are at high risk of developing severe complications from pneumonia, such as the elderly, young children, and those with weakened immune systems.

Understanding the prevention measures associated with pneumonia is crucial in the context of "Chad Allan Obituary Winnipeg White Lung Pneumonia." By promoting vaccination, good hygiene practices, and avoiding exposure to sick individuals, we can collectively contribute to reducing the incidence and impact of pneumonia, potentially preventing future cases of severe illness and untimely deaths.

Obituary: A public notice announcing the death of a person.

In the context of "Chad Allan Obituary Winnipeg White Lung Pneumonia," the Obituary serves as a crucial piece of information that provides insights into the life and passing of Chad Allan. Obituaries are public notices that announce the death of a person, typically including biographical details, accomplishments, and funeral arrangements.

  • Significance of Obituaries
    Obituaries hold cultural and social significance, allowing communities to acknowledge and commemorate the lives of their members. They provide a platform to celebrate the deceased's contributions, express condolences to the bereaved, and preserve memories for future generations.
  • Content of Obituaries
    Obituaries typically include the deceased's full name, date and place of birth and death, and a brief biographical sketch highlighting their occupation, family relationships, hobbies, and achievements. Some obituaries may also include a photograph of the deceased and information about memorial services or funeral arrangements.
  • Role in Death Notification
    Obituaries serve as a formal notification of death, particularly for individuals who may not have been aware of the passing. They allow family and friends to learn about the death and express their sympathies to the bereaved.
  • Historical and Genealogical Value
    Obituaries have historical and genealogical value, providing researchers with insights into family lineages, migration patterns, and social customs. They can be used to trace ancestry, reconstruct family trees, and gain a better understanding of past communities.

In the case of "Chad Allan Obituary Winnipeg White Lung Pneumonia," the obituary provides essential information about Chad Allan's life and passing. It allows us to learn about his identity, acknowledge his death, and extend our condolences to his loved ones. The obituary also contributes to the historical record, preserving his memory and providing a glimpse into his life for future generations.

Winnipeg: The capital and largest city of Manitoba, Canada.

The connection between " Winnipeg: The capital and largest city of Manitoba, Canada" and "Chad Allan Obituary Winnipeg White Lung Pneumonia" lies in the geographical context of Chad Allan's passing. Winnipeg is the city where Chad Allan resided and, unfortunately, where he succumbed to white lung pneumonia. Understanding this connection provides insights into the local impact of pneumonia and highlights the importance of local healthcare systems and community support.

  • Place of Residence

    Winnipeg was Chad Allan's place of residence, indicating that he lived in the city and was part of the local community. This suggests that he likely sought medical care within Winnipeg's healthcare system, emphasizing the role of local healthcare providers in addressing pneumonia cases.

  • Local Healthcare System

    Winnipeg's healthcare system played a crucial role in providing medical care to Chad Allan during his illness. The city's hospitals and healthcare professionals were responsible for diagnosing and treating his white lung pneumonia, highlighting the significance of local healthcare infrastructure in managing such severe medical conditions.

  • Community Support

    The Winnipeg community likely provided support to Chad Allan and his family during his illness and after his passing. Local support systems, such as neighbors, friends, and community organizations, often play a vital role in offering emotional support, practical assistance, and a sense of belonging during difficult times.

  • Public Health Implications

    Chad Allan's case of white lung pneumonia also sheds light on the public health implications of pneumonia within the Winnipeg community. It highlights the need for continued efforts in promoting vaccination, raising awareness about pneumonia prevention, and ensuring access to timely medical care to reduce the incidence and impact of this disease locally.

By exploring the connection between " Winnipeg: The capital and largest city of Manitoba, Canada" and "Chad Allan Obituary Winnipeg White Lung Pneumonia," we gain a deeper understanding of the local context surrounding this case. It emphasizes the importance of local healthcare systems, community support, and public health measures in addressing pneumonia and other severe medical conditions within a specific geographical area.

Frequently Asked Questions about "Chad Allan Obituary Winnipeg White Lung Pneumonia"

This section addresses common concerns and misconceptions related to the topic.

Question 1: What is white lung pneumonia?

Answer: White lung pneumonia is a severe form of pneumonia characterized by the accumulation of fluid and white blood cells in the lungs, giving them a white appearance. It is caused by bacteria, most commonly Streptococcus pneumoniae, and can be fatal if not treated promptly with antibiotics.

Question 2: What are the symptoms of white lung pneumonia?

Answer: Symptoms of white lung pneumonia include fever, chills, cough, shortness of breath, and chest pain. In severe cases, it can lead to respiratory failure and death.

Question 3: How is white lung pneumonia treated?

Answer: Treatment for white lung pneumonia involves antibiotics to kill the bacteria and supportive care to relieve symptoms. In severe cases, hospitalization may be necessary for oxygen therapy or mechanical ventilation.

Question 4: How can white lung pneumonia be prevented?

Answer: Prevention of white lung pneumonia includes vaccination against Streptococcus pneumoniae, good hygiene practices like handwashing and covering coughs, and avoiding exposure to sick individuals.

Question 5: What is the significance of Chad Allan's obituary in relation to white lung pneumonia?

Answer: Chad Allan's obituary highlights the devastating impact of white lung pneumonia and serves as a reminder of the importance of vaccination, good hygiene, and seeking medical attention promptly if symptoms develop.

Question 6: What are the key takeaways from this article?

Answer: White lung pneumonia is a severe and potentially fatal infection. It is crucial to be aware of its symptoms and seek medical attention promptly. Vaccination, good hygiene, and avoiding exposure to sick individuals are essential preventive measures. Chad Allan's obituary underscores the personal toll of this disease and the need for continued efforts to raise awareness and improve prevention and treatment.

We encourage further research and consultation with healthcare professionals for a comprehensive understanding of white lung pneumonia and related concerns.

Transition to the next article section:

For additional information on pneumonia and lung health, please refer to the following resources:

Tips Regarding "Chad Allan Obituary Winnipeg White Lung Pneumonia"

Pneumonia, including its severe form known as white lung pneumonia, remains a significant public health concern. Chad Allan's obituary serves as a reminder of the importance of preventive measures and prompt treatment for this potentially fatal infection. Here are some crucial tips to consider:

Tip 1: Recognize the Symptoms

Familiarize yourself with the symptoms of pneumonia, including fever, chills, cough, shortness of breath, and chest pain. Early recognition of these symptoms allows for timely medical intervention, improving outcomes.

Tip 2: Seek Medical Attention Promptly

If you experience persistent or worsening respiratory symptoms, do not hesitate to seek medical attention. Prompt diagnosis and treatment with antibiotics can significantly improve the chances of a successful recovery.

Tip 3: Practice Good Hygiene

Regular handwashing, covering coughs and sneezes, and properly disposing of used tissues are essential hygiene practices that help prevent the spread of pneumonia-causing bacteria.

Tip 4: Get Vaccinated

Vaccination against Streptococcus pneumoniae, the most common cause of white lung pneumonia, is highly recommended. Vaccination can significantly reduce the risk of infection or lessen its severity.

Tip 5: Avoid Exposure to Sick Individuals

During peak respiratory illness seasons, minimize contact with individuals who are sick to reduce the risk of exposure to pneumonia-causing pathogens.

Tip 6: Maintain a Healthy Lifestyle

A healthy lifestyle that includes a balanced diet, regular exercise, and adequate sleep can strengthen the immune system and improve overall health, making individuals less susceptible to infections like pneumonia.

Summary:

By following these tips, you can help prevent pneumonia, recognize its symptoms, and seek appropriate medical care promptly. Remember, early detection and treatment are crucial for reducing the risk of severe complications and fatalities.

For further information and support, consult reputable health organizations or consult with your healthcare provider.

Conclusion

As we reflect on the obituary of Chad Allan, a resident of Winnipeg who succumbed to white lung pneumonia, we are reminded of the profound impact of this severe lung infection. Pneumonia remains a significant public health concern, particularly for vulnerable populations such as the elderly, young children, and those with weakened immune systems.

Chad Allan's story underscores the importance of recognizing the symptoms of pneumonia and seeking medical attention promptly. Early diagnosis and appropriate treatment with antibiotics can significantly improve outcomes and reduce the risk of complications. Preventive measures such as vaccination, good hygiene practices, and avoiding exposure to sick individuals are crucial in reducing the incidence of pneumonia.

Dive Into Nikki Glaser's World: Exclusive Insights Into Her Personal Journey
Unveiling The Life, Legacy, And Farewell Of Jacob Hawn In A Heartfelt Obituary
Unveiling The Enigma: Michael Rockefeller's Untold Story Revealed

RIP Chad Allan Steve Hoffman Music Forums
RIP Chad Allan Steve Hoffman Music Forums
Chad Allan (musician) Alchetron, The Free Social Encyclopedia
Chad Allan (musician) Alchetron, The Free Social Encyclopedia